El análisis de los casos clínicos que vivimos en Centros Odontológicos Romano nos sirve como un aprendizaje diario que nos prepara para todo lo que está por llegar. Experiencias que nos dan un bagaje y una trayectoria sobre la que basar nuestro trabajo y que suponen, además, una garantía para nuestros pacientes. Así fue el antes y después de una periodontitis extrema que nuestro equipo vivió en una de las clínicas COR.
La periodontitis o piorrea es una enfermedad de las encías que ataca directamente al hueso, afecta a las encías y a los dientes. En este caso concreto pudimos solucionar y estabilizar el problema gracias al equipo profesional que forma Centros Odontológicos Romano.
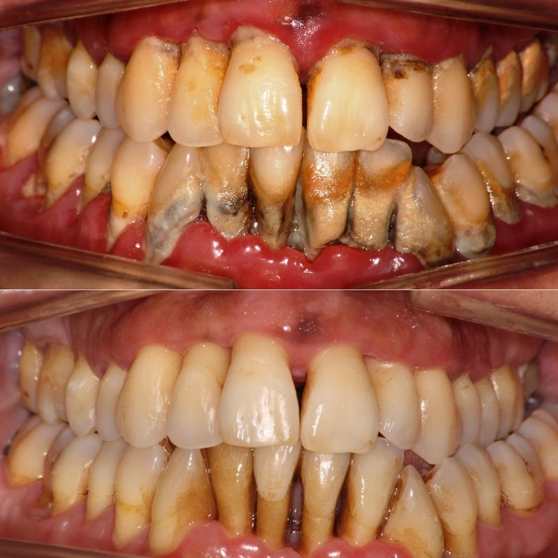
La gravedad es evidente, y sabíamos que estábamos ante un caso de periodontitis extrema: la pérdida de hueso es avanzada, la movilidad de algunas piezas es notable y el compromiso de los tejidos blandos salta a la vista.
Tras las pruebas diagnósticas específicas, se realizó un periodontograma, lo que nos permitía ser más certeros a la hora de realizar el tratamiento curativo. Después de las sesiones de raspaje y curetaje pertinentes, el paciente pasó a protocolo de mantenimiento, ya que este tipo de enfermedades pueden estabilizarse gracias a estos tratamientos, pero si el paciente se descuida en los cuidados post-tratamiento, desgraciadamente la enfermedad periodontal vuelve a aparecer.
Es de suma importancia realizar los tres cepillados diarios y acudir a cualquiera de nuestros tres centros odontológicos periódicamente para revisar que la salud bucodental está en buen estado: la prevención es la mejor garantía de salud. Este caso de periodontitis extrema pudo tener un buen final gracias al tratamiento y los cuidados, pero los pacientes tienen en su mano un elevado porcentaje del mantenimiento del éxito si se cuidan diariamente.

Comentarios recientes