Cada boca es un universo diferente y, por tanto, cada problema bucodental debe abordarse desde una perspectiva individualizada y meticulosa. Los avances técnicos han ayudado a democratizar soluciones que no hace muchos años eran complejas y costosas, haciéndolas más accesibles y sencillas. Hoy en día, la aparatología funcional es una respuesta recurrente para personas con problemas de dentición mixta o temporal.
Determinados problemas funcionales, como los casos de pacientes con dentición mixta o dentición temporal, son especialmente indicados para el uso de aparatología funcional. Esta solución es ideal para corregir problemas funcionales, y su popularidad responde a un factor fundamental en odontología: dar soluciones personalizadas a problemas individuales.
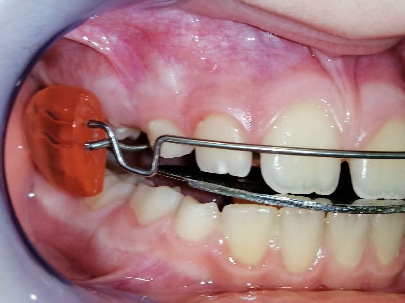
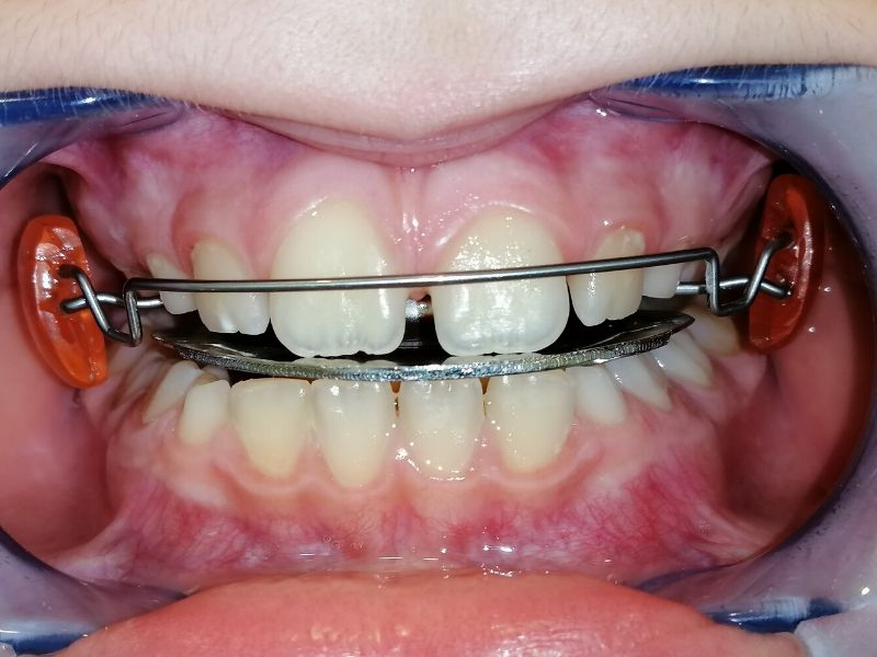
La aparatología funcional es, en su origen, una respuesta única a un problema que, por mucho que pueda ser común a muchos pacientes, en cada uno de ellos se manifiesta de una forma distinta. Estos aparatos, con una inmensa variedad de tipos y funciones, se adaptan a las necesidades de corrección que queramos realizar, se diseñan a medida para cada boca y son removibles.
¿Cómo funciona la aparatología funcional?
La aparatología funcional tiene una forma de trabajar muy sencilla: utiliza las fuerzas de la musculatura del paciente para actuar sobre los dientes y hueso. Consigue desbloquear los dientes, estimula una nueva posición mandibular, mejora la respiración nasal y actúa directamente en la firmeza del cierre labial entre otras acciones.
La utilización de este tipo de aparatología requiere de una gran colaboración, especialmente en los casos de pacientes infantiles y sus padres, ya que el éxito del tratamiento -al ser una solución removible- va directamente relacionado a las horas de uso del mismo.
Por supuesto, como en cualquier tratamiento odontológico, la monitorización es fundamental. Evaluar el avance de las soluciones aplicadas con revisiones cada no más de tres o cuatro semanas es básico: ayudará a atajar a tiempo cualquier complicación, servirá para resolver dudas y reforzar aquellos elementos que estén teniendo la evolución deseada.



Comentarios recientes