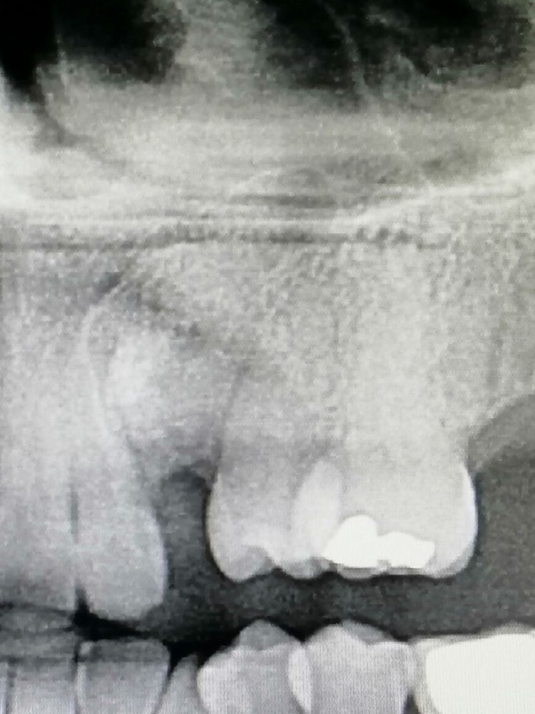
En Centros Odontológicos Romano, casi cada día, recibimos a un paciente que presenta un caso clínico ideal para explicar un problema bucodental, ya sea por sintomatología o tratamiento para solucionarlo. Es el caso de un paciente que llegó a una de nuestras clínicas por una fractura en la pieza dental número 2.4. Un caso de canino incluido.
Tras una primera exploración con TAC dental, pudimos observar cómo se encontraba incluido en el hueso el canino superior izquierdo. Es un hecho muy frecuente que tratamos a menudo en nuestras clínicas, es asintomático para los pacientes y la solución suele ser también recurrente.
Para los casos de canino incluido, la mejor solución clínica suele ser dejarlo en esta posición, ya que la mayoría de los pacientes no saben que lo tienen ahí. Otra posible respuesta a esta situación es optar por un tratamiento de ortodoncia para recolocarlo en su posición ideal, pero este no era el caso ni el motivo de la consulta.
Al tener la pieza 2.4 fracturada, le propusimos al paciente la extracción de dicho premolar y la posterior colocación de un implante dental, con la peculiaridad de que presentaba un canino incluido que impediría la colocación del implante paralelo a las piezas contiguas.
En este caso, había que optar por otra solución. La propuesta de tratamiento en este caso fue la retirada de ambos dientes, el 2.3 (el canino incluido) y el 2.4 fracturado, regeneración con biomateriales y posterior colocación de una prótesis provisional hasta que los tiempos de cicatrización y regeneración ósea nos dieran la oportunidad de colocar el implante dental correspondiente.


Comentarios recientes