La mejor manera de describir un problema de salud bucodental siempre es a través de un caso clínico real. Recientemente, recibimos en Centros Odontológicos Romano la visita de un paciente que presentaba molestias en la pieza dental número 1.2 pese a que no tenía antecedentes médicos de interés. Os contamos su caso, un tratamiento de endodoncia con reabsorción interna.

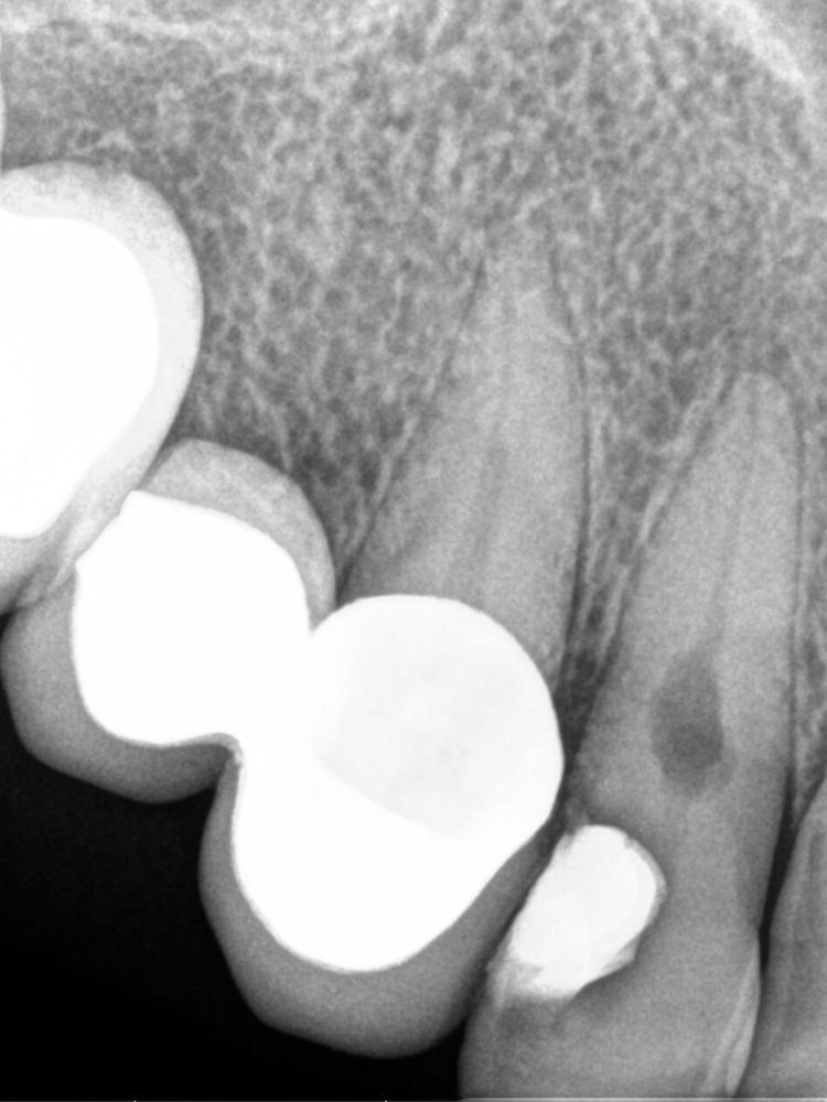
Tras esa primera consulta, al realizar la radiografía pudimos observar una imagen radiolúcida en el tercio medio del conducto. Procedimos a efectuar las pruebas diagnósticas pertinentes, de las que concluimos que el tratamiento a seguir debía ser la realización de una endodoncia o tratamiento de conducto y sellar la reabsorción interna.

En una primera visita realizamos la instrumentación del conducto y la irrigación del mismo y de la cavidad de la reabsorción. Para mejorar el tratamiento del conducto se deja en su interior un material muy específico, denominado hidróxido de calcio.

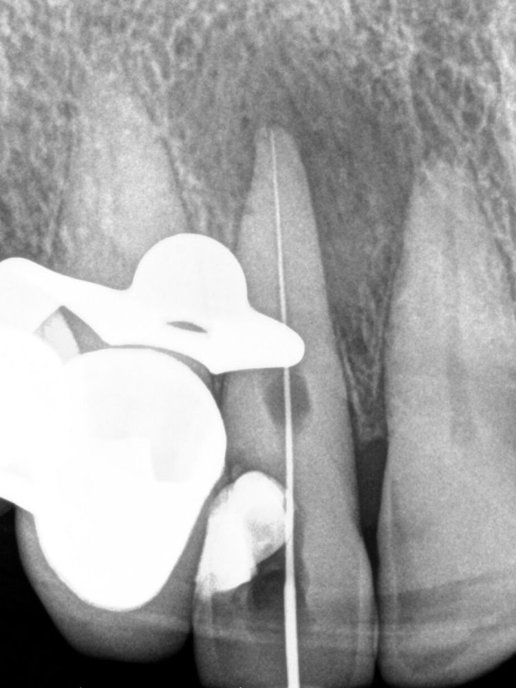
En una segunda cita pasamos al siguiente peldaño del tratamiento. Procedimos a retirar todos los materiales intraconducto y obturar. Para ello, en primer lugar, se realiza el Downpack con System B para sellar el tercio apical. A continuación, con la técnica de inyección de gutapercha, se rellena el tercio medio y coronal del conducto de la pieza 1.2, con el consiguiente sellado de la cavidad de la reabsorción.

Para el éxito de este tratamiento de endodoncia con reabsorción interna es fundamental el uso de la gutapercha termoplástica. Con ello, somos capaces de obturar. Un ejemplo de cómo, pese a no tener en su historial unos antecedentes marcados que pudieran hacer prever este problema, unas molestias y las revisiones periódicas pueden ayudar a detectar una problemática a tiempo de resolverla antes de que vaya a más.

Tu clinica dental en Alicante, San Vicente y San Juan.

©Romano2022

Dónde estamos

ALICANTE
Plaza Ruperto Chapí nº1
965 21 80 57
alicante@romanodontologia.com

SAN VICENTE
Av. Ancha de Castelar nº77, local derecho
965 66 52 26
sanvicente@romanodontologia.com

SAN JUAN
C/ Mosén Pedro Mena, 12
965 65 89 51
sanjuan@romanodontologia.com

LEGAL

Contáctanos

(+34) 965 21 80 57
662 055 962
Diseñado y Desarrollado por ComunicAlicante

Pin It on Pinterest

Shares
Share This