La mejor manera de comprender una problemática de salud bucodental es analizar a un paciente real que, mediante su caso clínico, haya tenido la sintomatología, el diagnóstico y el tratamiento a estudiar. Es el caso de un paciente que tratamos recientemente en Centros Odontológicos Romano: cómo trabajar para reponer las piezas dentales ausentes. Un caso muy común y que puede darse por motivos como accidentes, traumatismos o distintas patologías.
En este caso, nos visitó un paciente varón de 57 años, sin antecedentes médicos previos. El motivo de la consulta era claro: buscaba reponer las piezas dentales ausentes tras haber sufrido su pérdida unos años atrás, por lo que era necesaria una solución que conjugase aportar la funcionalidad de las piezas dentales ausentes con la estética.
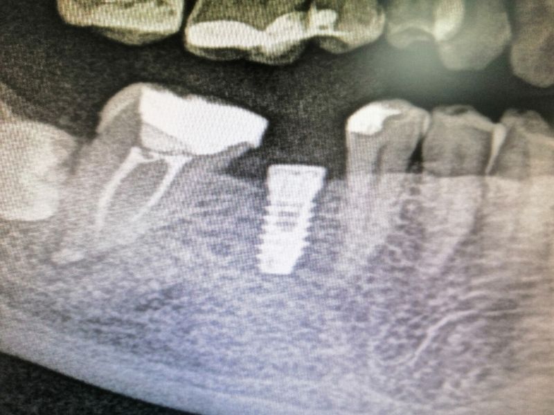
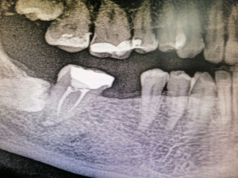
El primer paso en una situación así es realizar un estudio radiográfico para analizar la situación en el estado actual de la boca. En ese estudio pudimos observar que la mejor propuesta de tratamiento, para su caso concreto, era la colocación de implantes como vía para reponer las piezas dentales ausentes.
Tras realizar la valoración pertinente, le tomamos al paciente un registro en 3D Tac Dental (CBCT) con la finalidad de analizar y programar al detalle la colocación de los implantes. Es un paso necesario previo al comienzo del tratamiento, que nos ayuda a planificar los pasos a seguir y a determinar los plazos.
Finalmente, con todo listo para reponer las piezas dentales ausentes, se procede a la preparación de todo el instrumental técnico necesario y a realizar la cirugía de colocación de los implantes. Paso a paso, un poco más cerca de finalizar el tratamiento y devolver al paciente a su mejor estado de salud bucodental.
Pasados los tres meses de integración, dimos por finalizado el caso clínico con la colocación de una muela que, en este caso, va atornillada al implante dental mosteo-integrado en el hueso del maxilar inferior. Un caso real de un paciente que nos ayuda a entender cómo proceder ante situaciones, actuales o pasadas, en las que se ha perdido alguna pieza dental.



Comentarios recientes