En el desarrollo de nuestra profesión, en el día a día de un centro profesional como es Centros Odontológicos Romano, se presentan numerosas situaciones en las que nuestros pacientes llegan con un estado crítico de alguna de sus piezas dentales. La pregunta, casi siempre, es idéntica: “¿Qué podemos hacer, doctor? ¿Se puede salvar?” Para responder, es necesario que analicemos cada caso y nos preguntemos cuándo se deben extraer los dientes.

Desde Centros Odontológicos Romano nos gusta ofrecer a cada paciente la mejor solución que está en nuestras manos para poder solucionar los innumerables problemas dentales que pueden sufrir en un momento dado nuestros pacientes y amigos.

Partimos de una detallada exploración de los dientes para, con los registros radiográficos y un minucioso estudio, ofrecer al paciente toda la información que requiere el arreglo de las piezas dentales que lo necesiten. Por ello, a raíz de un par de casos muy sencillos, nos gustaría mostrar cuándo se deben extraer los dientes: es decir, el momento en el que las piezas están clínicamente para retirar, ya que el compromiso así lo requiere.

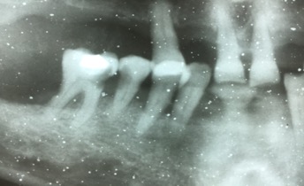
Primer caso: varón de 43 años

Un paciente varón de 43 años viene a consulta con un fuerte dolor en la zona inferior derecha. Tras una exploración radiográfica, vemos cómo el segundo molar inferior derecho presenta una caries de gran tamaño provocada por la posición de la muela del juicio inferior derecha.

 

 

 

La inclinación de esta muela del juicio impacta sobre el segundo molar, provocando al final esta desafortunada situación clínica que, en cierta medida, nos obliga a tomar la decisión de retirar las dos muelas, ya que los dolores que sufre el paciente son realmente fuertes.

 

 

Una vez retiradas las piezas afectadas, la zona suele recuperarse de una manera muy favorable por medio de la antibioterapia y las revisiones periódicas que supervisen y controlen el proceso de cicatrización.

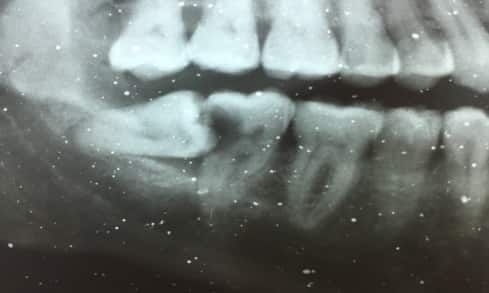
Segundo caso: varón de 63 años

Otro caso que nos hemos encontrado en Centros Odontológicos Romano y que nos ha ayudado a responder a la pregunta de cuándo se deben extraer los dientes es el de un paciente hombre de 63 años, con movilidad dental generalizada y un dolor agudo en la zona inferior derecha. Una vez realizada la exploración en profundidad del caso, valoramos en su totalidad la situación de los dientes, especialmente de los que nos indica el paciente.

radiografia del primer molar extraidoEl primer molar inferior derecho y el segundo premolar inferior derecho presentan una pérdida de hueso muy evidente, teniendo como resultado la movilidad en los tres ejes del espacio, además de unos procesos de caries en estado avanzado con un fuerte compromiso de los nervios.

 

 

 

radiografia implante dentalValorando la situación clínica de ambas piezas dentales en cuando a su muy pronunciada movilidad y el estadío de sus caries, que provoca fuertes dolores, proponemos como mejor solución la retirada del molar y del premolar.

 

 

diente perforado por la cariesPor supuesto, no todos los casos que nos llegan a Centros Odontológicos Romano con fuertes dolores tienen en la retirada de las piezas dentales la solución que necesitan. Estos dos ejemplos son una muestra concreta en los que el caso del paciente requería abordarse de esta manera por su propio bienestar.

 

 

Ante cualquier duda o problema estaremos encantados de poderles ayudar en cualquiera de nuestros tres centros odontológicos situados en:

Tu clinica dental en Alicante, San Vicente y San Juan.

©Romano2022

Dónde estamos

ALICANTE
Plaza Ruperto Chapí nº1
965 21 80 57
alicante@romanodontologia.com

SAN VICENTE
Av. Ancha de Castelar nº77, local derecho
965 66 52 26
sanvicente@romanodontologia.com

SAN JUAN
C/ Mosén Pedro Mena, 12
965 65 89 51
sanjuan@romanodontologia.com

LEGAL

Contáctanos

(+34) 965 21 80 57
662 055 962
Diseñado y Desarrollado por ComunicAlicante

Pin It on Pinterest

Shares
Share This